Общество
Ветеран ВОВ Рафик Кевеян: «Мне сегодня 95 лет. Но я в жизни не встречал такого, ...
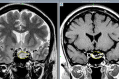
В МЦ «Астхик» сотрудничестве с благотворительным фондом «Вива» внедряют новый ме...
Микаэл Минасян: Либо мы победим смертоносный «николавирус», либо вирус окончател...
Ракета Falcon 9 со спутниками Starlink стартовала во Флориде
В Ереване предотвращена попытка самоубийства
Коронавирус в Армении: 9 новых смертей
В Сюнике будут построены новые дома для арцахцих резидентов
Тигран Арзаканцян поможет отреставрировать церковь Святой Аствацацин IX века. "П...
53-летняя женщина в Ереване родила мальчиков-близнецов после 12 лет бесплодия (ф...
Мария Захарова опубликовала на своей странице в социальной сети Facebook обзорну...
В Польше найден уникальный 1100-летний клад монет Каролингов
Банк ВТБ (Армения) предлагает платежные карты для студентов
Генпрокурор: В 2020 году в Армении было зарегистрировано 26 468 преступлений
Fox: более 3,3 тыс. жителей США умерли после вакцинации от коронавируса
Вакцину от коронавируса компании Нубара Афеяна признали лучшей в мире
Омбудсмен Армении: 2020 год стал для нашего офиса беспрецедентно загруженным
Одна чашка листовой зелени может снизить риск развития болезней сердца – исследо...
Парламент Армении в первом чтении одобрил ряд законодательных поправок
Дожди и грозы: синоптики рассказали, какая погода ждет жителей Армении в ближайш...
Альпинист обнаружил на Эльбрусе палатку с телами замерзших людей
12 тыс. шагов в день сократят риск преждевременной смерти
СК Армении: Рядовой Артем Мелконян получил смертельное огнестрельное ранение в г...
Аукцион Sotheby's впервые ввел оплату криптовалютой на торгах за картину Бэнкси
Хакеры заблокировали сайт колумбийской армии
В Армении ограничили рекламу азартных игр на новостных сайтах
В Армении произошло землетрясение
UDAY в интернет-магазине UCOM: красивые номера премиум и гаджеты со скидкой в 60%
НАСА намерена послать новый зонд в межзвездное пространство
Сын дрессировщика Багдасарова усомнился в причине его смерти
ArmLur.am: В Министерстве окружающей среды Армении подрались две сотрудницы ведо...
Ваагн Хачатурян на что-то намекает Николу Пашиняну? «Паст»
Общество опровергает «опровержение» МОНКС: «Паст»
Ни шага не делают, ни окончательного ответа не дают: «Паст»
CBS: военные США готовы к удару по Ирану 21 февраля
Закажите карту Arca Classic от IDBank и получайте до 2% кэшбэкa
Арцахское движение стало точкой опоры для демократических перемен во всей Восточной Европе: заявление АНК
IDBank подвел итоги розыгрыша, проведенного в рамках IDsalary: 55 счастливчиков получили свои призы
«Сказка о Царе Салтане» Сарика Андреасяна побила в России сразу несколько рекордов
Экспорт армянского вина снизился, но подорожал
Правоохранители разыскивают участников перестрелки в Ачапняке
Ucom и Hero House Yerevan продолжают сотрудничество
Постпред Ирана при ООН заявил, что Тегеран «решительно» ответит на агрессию США
Стипендиат программы «Армянские Виртуозы» фонда «Музыка во имя будущего» Эдуард Даян был удостоен Гран-При
Сурен Суренянц представил новое народное движение «Нет Западному Азербайджану»
Я работаю в направлении Трибунала Национального Достоинства. Если у вас есть дополнительные вопросы или предложения, прошу написать мне
Стартовала презентация Мониторинга дружественности коммуникационных режимов - 2025 (Фото, Видео)
О каких «достижениях» говорят власти? «Паст»
«Оппозиционные силы должны объединиться в несколько крупных идеологических блоков и нанести поражение действующему режиму»: «Паст»
Через два дня после «открытия» избирательного сезона губернатор Сюника раздал жителям финансовую помощь: «Паст»
В «ГД» снова происходят внутренние брожения: «Паст»
«Правосудие» превращенное в шоу: истинная цель дела Ваге Акопяна: «Паст»
Нужно объединиться вокруг повестки «Нет Западному Азербайджану»: письмо представителям ООН (Видео)
В Арташате открылся новый филиал Америабанка: специальные предложения для новых клиентов
Опасная щедрость: IDBank предупреждает о росте числа фальшивых социологических опросов в интернете.
Армянский скрипач Эдуард Даян удостоен Гран-при престижного конкурса в России
Аделия Петросян — в финале после короткой программы в женском фигурном катании на ОИ-2026
«Правосудие» превращенное в шоу: истинная цель дела Ваге Акопяна
Bloomberg: акции Nestle упали до минимума на фоне скандала с детским питанием
Россия и Иран с 1 апреля приступят к реализации проекта ж/д линии Решт - Астара
В приграничных сёлах Армении закрывают школы
Вэнс: возможное ядерное оружие Ирана не должно попасть в третьи руки
Действовать исключительно в рамках закона и конституционных полномочий. Движение "Всеармянский Фронт"
Ватикан не войдет в состав Совета мира по Газе
В Иране в отношении протестующих возбудили не менее 23 тысяч уголовных дел
ВТБ (Армения) открыл обновленный офис в городе Аштарак
Инициатива Idram-а, Mediamax-а и фонда «Айорди» к Дню дарения книг
Клеймированный стигмой стыда и позора: кого радуют действия властей Армении? «Паст»
«АйаКве» представляет политическую заявку с повесткой смены власти: «Паст»
Какие планы у Запада и Пашиняна относительно железной дороги? «Паст»
Глава крупнейшего в Европе завода по производству вооружения: Война в Украине не закончится в 2026 году
Центральный комитет АРФ Дашнакцутюн в Греции: Считаем неуместным встречаться с президентом Армении
IDBank открыл представительство в Глендейле, штат Калифорния
Билл Гейтс обсудил в Китае сельское хозяйство, медицину и сферу ИИ
Послание Католикоса: Наши души тревожатся из-за многочисленных нападок на нашу Святую Церковь
Архиепископа Микаэла Аджапахяна 17 февраля выпишут из больницы
Власти Армении передали Австрии обвиняемого в совершении краж гражданина
Акция в защиту Гарегина Второго в соборе Святых Гевондянц в Бербанке
Следственный комитет «опровергнув», по сути фактически подтвердил: «Паст»
«Серии» нападок на Национальную идентичность: «Паст»
Впечатляющая заявка «Сильной Армении» и неприкрытая паника «Гражданского договора»: «Паст»